Broken Things
It's been a helluva month.
I didn't want to wake up today. Even as the sun beamed in through the skylight, pressing itself between my eyelashes, uninvited – I squeezed shut my eyes even tighter.
It was my second night back up in my sleeping loft post-accident, and my first night alone again – a solemn return to solitude.
Though I lived here on my own for a few months in the summer of 2016, T would spend at least a night or two each week sleeping beside me. This time – I hugged a pillow instead of him, and cried myself to sleep, knowing he wouldn't be returning any time soon.
I've cried a lot these last two days. I knew it was coming, and I know our reasons are sound, still – my heart grieves.
So many little things inspire tears as I move through a space that was ours; the repeated realization that...he won't be coming home again.
Braving The Ladder
Before he packed up and said his goodbyes, he spent one last night at my side. I took advantage of his presence, having him spot me to ensure I was alright making my way up and down the ladder with my injured foot.
Turns out I can manage just fine using my right knee – slowly, carefully, with a firm grip. It was a little scary, but I was willing to risk it.
Two weeks on the couch has wrecked havoc on my back. For the sake of my overall well-being, I need to be resting on my good mattress – even if it means traversing the ladder, back up to the loft I so recently fell from.
Though my heart is ailing, my spine is complaining less, making it ever so slightly easier to navigate these changes.
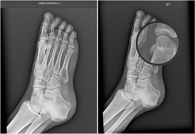
Yes, It's Broken.
I finally met with a podiatrist on the 28th. As I strongly suspected, the radiologist who claimed my foot was 'normal' – that my x-rays revealed 'nothing of concern' – was either high or lazy.
Just as I was told the day it happened, there's a displaced fracture or 'chip' on the head of the 5th metatarsal on my right foot. As well, the doc suspects I have a non-displaced fracture on the head of the 4th. He could see that the heads of the 3rd, 4th and 5th were all smashed, the 4th appearing a bit 'torqued', as well.
The good news is – no surgery necessary. Though I can't presently move my little toes, the doc thinks I'll regain full mobility eventually.
So...I've got at least 4 more weeks in the boot. Then more x-rays, and we'll see if I can start thinking about driving again.
Perhaps I'm feeling these breaks a bit more than I was when I wrote my last post, but I'm alright with that; I knew I'd have my challenging days.
I may be acutely aching today, but that might not be the case tomorrow. I'll just keep doing my best to maintain a healthy perspective over the coming weeks.
It's a lot all at once, but I trust – this, too, shall pass.

.jpg)

Sending you massive hugs!
Stay safe!
Love ya!
Darren
What a sweet ghosty huggle!! Thanks, my dear @darrenclaxton. :) And – it's all good – we're all busy and pre-occupied with our busy lives. Can't take these things personally. hugs!
In case I don't say it enough... I love you my friend.
Much appreciated, my dear. Grateful to have friends like you. 💜
Sending you much love, dear Zippy. I know it's a cliche, but "this, too, will pass." Hold on to all the goodness in your life, in life itself, in fact, and know that you are going to get through this, just like you've done with so many challenges before. I'm so glad to know that you don't feel obliged to constantly be strong and stoic: it's completely natural and healthy to fall apart when the feeling to do so arises. But do reach out if you need help, Zippy, OK? Be well, sweet lady <3
It's not cliche – it's a crucial phrase, though sometimes hard to remember. My dear Mum (@faune) has been saying 'this, too, shall pass' since I was little. You'd think it'd be deeply embedded in my psyche by now. Alas...I suspect I'll be finding ways to remind myself for many decades to come. ;) I appreciate knowing I have your support, dear heart. <3
((((((((@zipporah)))))))))
Zipppppy! I love yoU! ♥
tip!
And I you, dearest Serena. :) YOOUUUUU! <3
I am glad that you are on your ways of healing. Rest is also good for the soul. Take the time you need for yourself. Self care is most important :)
I appreciate the encouragement @foxyspirit. Life has a funny way of making us pause. The best I can do is make good use of it. <3
Hi @zipporah! You have received 0.1 SBD tip from @paintingangels!
@paintingangels wrote lately about: But No Feel free to follow @paintingangels if you like it :)
@tipU voting service | For investors.
Thanks for contibuting somthing great!
That's how we do! ;)
upvote for me please? https://steemit.com/news/@bible.com/6h36cq
Get well soon @zipporah 💐💐....!!! unless you have bad times, you can't appericiate the good times.
Smile, and they will all wonder what you are thinking about.