Get rid of the dentist at home..!
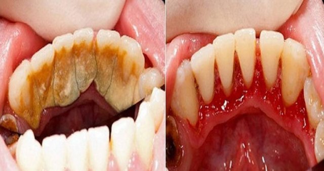
Pain in the teeth! The stone went after yellow coating after the teeth. Many people suffer from this problem. It can be seen that the yellow or brown mineral coat on their teeth. In the medical language called tartar. But ordinary people know it as a tooth stone.
These starters continue to grow without actually cleaning regular teeth. The cause of the disease called 'periodontitis' is also the cause of the disease.
Periodontitis key:
In 'periodontitis' the inflammation of the tooth tissue. As a result, there is a possibility of falling teeth in prematurely due to the gums shrinking.
To avoid this problem need to clean the tartar deposited on regular teeth. The first solution to remove the tartar is the dentist. But if you want to sit at home you can solve this problem.
To avoid this problem need to clean the tartar deposited on regular teeth. The first solution to remove the tartar is the dentist. But if you want to sit at home you can solve this problem.
What is needed to clear the tartar:
- Baking soda
- Dental Pick
- Salt
- Hydrogen peroxide
- Water
- Toothbrush
- Cup
- Antiseptic Mouth Wash
Baking soda is the most convenient and effective ingredient to remove tartar. Let us now know how to remove the tartar.
The first step
Mix one tablespoon baking soda with a cup of 1/2 teaspoon salt. Brush the toothbrush in hot water and brush the tooth for five minutes by mixing baking soda and salt. Finally, make a zigzag.
Second step
Mix one cup of hydrogen peroxide with 1/2 cup light warm water. Keep one minute in the face of this water. Then take a second of the cup water.
The third step
Gently rub the yellow tartar with dental pickles. Use caution when using a dental pickup to avoid damage to the gums.
