The Importance of Genetics in the Current Global Situation - Part One
Talking about genes, DNA, RNA, is usually something complex, since in general people find it difficult to visualize and assimilate how it is that from the content of a cell nucleus we can know almost everything about a person.
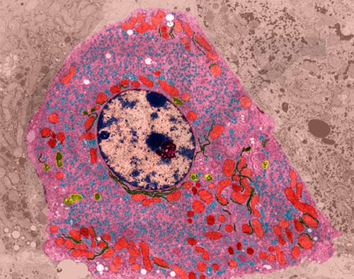
For the study of any genome, specialized technology is required that allows the size of a DNA chain to be increased by tens of times, in addition to many other technological tools that allow it to be analyzed not only from a structural but also from a functional point of view. Only in this way can one have an idea of how and at what point it may be beneficial to determine GEN.

I want to make a series of publications on this subject, starting by explaining what genetics is all about, obviously in order to know what it is that you study and then see its application in so many areas of life, you need to know what the function of genes is in all living organisms.
Follow me and immerse yourself in this tiny world but of incalculable transcendence.

Genetics is the branch of Biology (study of life) that deals with the study of inheritable characteristics (morphological, physiological, biochemical or behavioural). **Currently focused specifically on the study of DNA, RNA, and their sequencing, determining structure and also their function.
This arises at the end of the 19th century with the experiments carried out by the monk Gregor Mendel, I think we have all known about him when going through secondary education. With experiments made by crossing different plants he determined that some characteristics are inherited from the parents, and he included the first concepts in this new scientific branch (dominant, recessive, alleles, hybrids, among others). Surely you remember that.
Often, when at 14-15 years of age we see classes on this subject, we have no idea what the point of knowing this is, and even as adults many are simply not interested at all, however, in the current world situation, in which a Virus (composed of DNA) is causing global havoc of magnitude that many did not even imagine, and this knowledge acquired at that time becomes more meaningful.
Over the decades, as the science and technology used for these studies has evolved, many answers have been found, but many questions have also arisen.
From this branch of biology called genetics, a subbranch called genomics has emerged that is interested in the description and molecular analysis of entire genomes, and this in turn has been divided into two major areas of study, structural genomics and functional genomics. The first area looks in depth at the physical characteristics of the genome and the second is responsible for determining the function of each of the component elements of a genome.
I would like to explain as easily as possible (although it is quite complex) what genes are all about. To do this, we must be clear about how a nucleic acid (DNA and/or RNA) is composed. Which is the way in which each of the cells of an organism stores the information that allows it to live.
Our organism is composed of hundreds of millions of cells, each with a different form and function, yet all contain the same information in their cell nucleus. And it is determined within the genes, in the DNA, what structural and functional characteristic each one will have.
It is this particular point that I am interested in making very clear in this series of publications that I will bring to you all, to finish by talking specifically about how the science of genomic knowledge benefits in order to decipher, for example, how to create the vaccine for the Coronavirus, or to promote technological and scientific advances to improve the study of these, or simply to know that there are currently more than 160 genomic sequences with some variations of this virus.
In the second part I will explain what this is about DNA. And how it is related to viruses. That's one of the most important implications of this today.
For reading me so much.

I invite you to visit Project.hope and learn about the benefits of this project for all those interested in growing while helping others to grow.
What an amazing post thanks for sharing. Is it possible for Crispr to be the solution for COVID-19?
Hello @papa-mensa
I have no doubt that CRISPR would be an enormous tool in this, in the solution not only of this problem, but of many more.
However, I also believe that it can be a lethal tool if not put to proper use.
This is a very interesting topic, and I am particularly passionate about it. When someone who doesn't know about genetic engineering is told that these viruses can be created, they see one that is a bit strange, because it looks like a science fiction movie, but with the possibility of DNA editing using RNA... well, anything is possible.
Including big solutions, like big problems.
Thank you very much for your comment, and for your question.
I think genetics will help us create better humans, more resistant to climate change and disease; in a (paradoxical) way we are continuing the dream of Hitler's Aryan race, trying to be a stronger race, and there is nothing wrong with it, what worries is that only a privileged sector can access it and start a segregation.
As always a great article, I will keep an eye on those that follow !.
Actually @reinaldoverdu, I think there will always be one group that benefits more than another.
It seems to be part of human nature.
We have to try to be on the side of the beneficiaries, who are always the smaller group.
Thank you for your appreciation.
Dear Dr. @josevas217
I congratulate you, friend
This sentence brought back fond memories.
Doctor great topic that you bring to this space reading your publication definitely made me remember when I studied in high school.
I recently explained to my youngest daughter, how some plants are crossed and put as an example of the crossing of a lime plant with an orange one, she was very surprised.
He wants to carry out experiments of this type, dad told me when we are at grandma's house, we can do an experiment, she has many lime plants.
Interesting professor @lanzjoseg It's good to bring back fond memories of those years. And it's great to be able to match the themes with your daughter. I hope you can do the crossing of those plants and that they can be given, it is not difficult, and it is a good field work to share and learn.
Thank you for your comment
Very lovely choice thank you for the information
Thank you for you comment
Resteemed already. Upvote on the way :)
Thank you @project.hope😊
@tipu curate
Upvoted 👌 (Mana: 10/15 - need recharge?)
Grateful for the support @cripto.piotr😉
Hi @josevas217
Thanks for sharing. Looking forward to the next article.
Thanks for the comment @awah. Already working on the next post.
But the end of all things has drawn near. Therefore be sober-minded and be sober unto prayers.(1 Peter 4:7)
Question from the Bible, Who can lead me to heaven?
Watch the Video below to know the Answer...
(Sorry for sending this comment. We are not looking for our self profit, our intentions is to preach the words of God in any means possible.)
Comment what you understand of our Youtube Video to receive our full votes. We have 30,000 #SteemPower. It's our little way to Thank you, our beloved friend.
Check our Discord Chat
Join our Official Community: https://steemit.com/created/hive-182074